Состояние здоровья 78-летнего пациента в Татарстане вызывает беспокойство

Мужчина поступил в больницу с увеличивающимся образованием на голове.

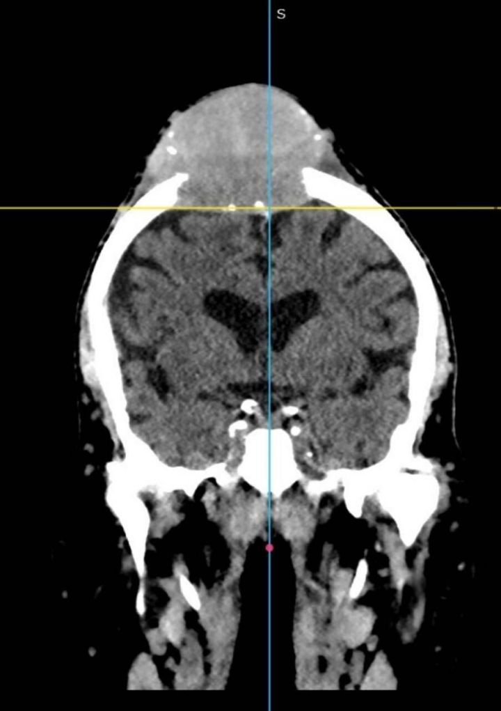
11 ноября в Республиканскую клиническую больницу Татарстана поступил 78-летний мужчина с постоянно растущим образованием на голове.

Образование, по словам врачей, начало увеличиваться несколько месяцев назад и стало причиной серьезного беспокойства у пациента и его семьи. После первичного осмотра и ряда анализов, медики решили провести дополнительные исследования, чтобы выяснить природу образования.

Врачи отметили, что подобные случаи не являются редкостью, однако важно провести диагностику как можно скорее, чтобы исключить серьезные заболевания. В ходе обследования пациента будут использоваться различные методы, включая МРТ и биопсию.

Семья пациента выразила благодарность медицинскому персоналу за оперативность и профессионализм. Они надеются на скорейшее выздоровление и положительный исход лечения.

Специалисты подчеркивают важность регулярных медицинских осмотров, особенно для пожилых людей, которые могут не замечать изменений в своем здоровье. Рекомендуется обращаться к врачу при любых подозрительных симптомах, чтобы избежать возможных осложнений.

На данный момент состояние пациента стабильное, он находится под наблюдением врачей, которые продолжают следить за его состоянием и готовят план дальнейших действий.

Последние новости

Наиль Магдеев посетил Лисичанск

Мэр города Набережные Челны находится встретился с волонтёрами группы «Полевая кухня» из Набережных Челнов.

В центре Лениногорска на месте бывшего самолета жители предлагают создать музыкальный фонтан

Некогда знаменитый в Лениногорске арт-объект - настоящий самолёт давно убрали из-за ветхого состояния, однако, сейчас с участием жителей решается, как использовать эту территорию, а также бывший детский парк «Малыш»,

На детский турнир по теннису в Лениногорск приехали 48 теннисистов из 15 городов России

В Лениногорске прошёл детский турнир по теннису памяти Сергея Кандаурова Этот турнир проходит в Теннис-холле Лениногорска уже третий год подряд.

Коррекция фиброза и возрастных изменений: когда показан эндотканевой лифтинг

Как современная технология помогает вернуть коже упругость, убрать отёки и улучшить рельеф без хирургии

Здесь вы можете узнать о лучших предложениях и выгодных условиях, чтобы купить квартиру в Челябинске

Комментарии (0)

Добавить комментарий

Ваш email не публикуется. Обязательные поля отмечены *