В РКБ удалили кисту с клубками волос, которая выросла рядом с сердцем

Хирурги торакального отделения №1 Республиканской клинической больницы Татарстана удалили пациентке дермоидную кисту с клубками волос внутри.

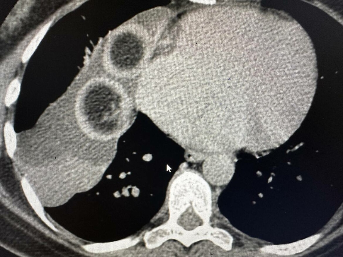
Хирурги торакального отделения №1 Республиканской клинической больницы Татарстана удалили пациентке дермоидную кисту с клубками волос внутри. Об этом рассказали в пресс-службе клиники.

Образование заметили у 44-летней жительницы Бавлинского района республики на флюорографии, на КТ подтвердили. Киста расположилась в средостении – это центральное пространство грудной клетки между двумя плевральными полостями. Женщину направили в РКБ.

«Оказалось, что рядом с сердцем выросла дермоидная киста размером 10 на 7 на 15 сантиметров. Внутри этой кисты образовались две большие волосяные головки», – рассказали в РКБ.

Торакальные хирурги больницы удалили образование через три небольших прокола за два часа. В этот же день женщина ходила без труда по палате.

Последние новости

Наиль Магдеев посетил Лисичанск

Мэр города Набережные Челны находится встретился с волонтёрами группы «Полевая кухня» из Набережных Челнов.

В центре Лениногорска на месте бывшего самолета жители предлагают создать музыкальный фонтан

Некогда знаменитый в Лениногорске арт-объект - настоящий самолёт давно убрали из-за ветхого состояния, однако, сейчас с участием жителей решается, как использовать эту территорию, а также бывший детский парк «Малыш»,

На детский турнир по теннису в Лениногорск приехали 48 теннисистов из 15 городов России

В Лениногорске прошёл детский турнир по теннису памяти Сергея Кандаурова Этот турнир проходит в Теннис-холле Лениногорска уже третий год подряд.

Коррекция фиброза и возрастных изменений: когда показан эндотканевой лифтинг

Как современная технология помогает вернуть коже упругость, убрать отёки и улучшить рельеф без хирургии

Здесь вы можете узнать о лучших предложениях и выгодных условиях, чтобы купить квартиру в Электростали

Комментарии (0)

Добавить комментарий

Ваш email не публикуется. Обязательные поля отмечены *